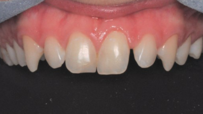
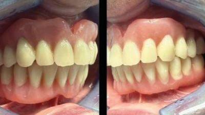
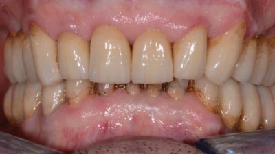
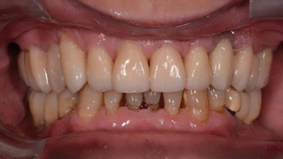
Prima

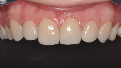
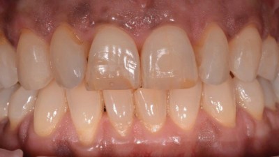
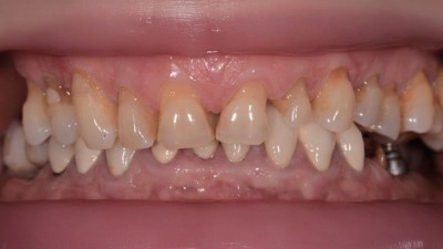
Dopo

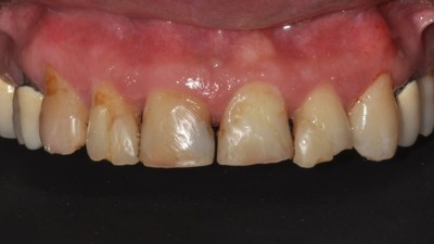
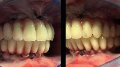
Prima

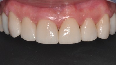
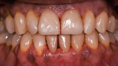
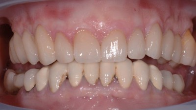
Dopo

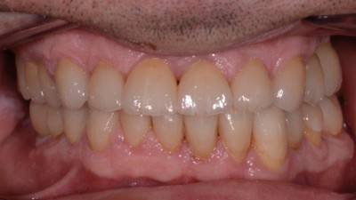
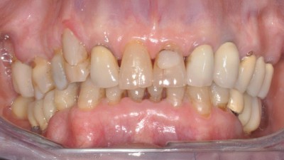
Prima

Dopo

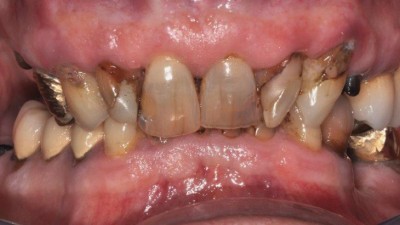
Prima

Dopo

Prima

Dopo

Prima

Dopo

Prima

Dopo

Prima

Dopo

Prima

Dopo

Prima

Dopo

Prima

Dopo

Contatti
Grazie per averci scritto, ti risponderemo al più presto.